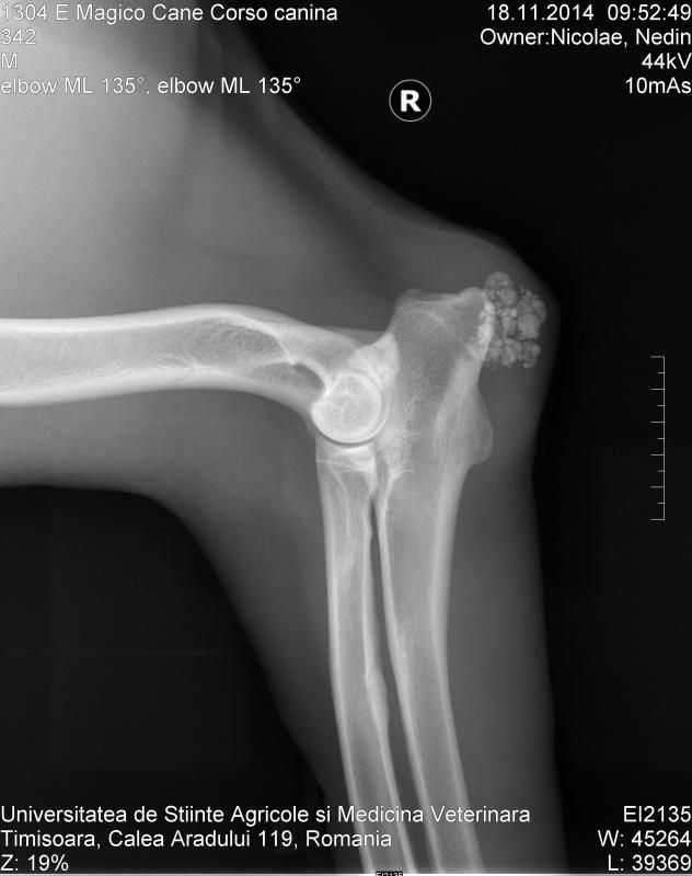
Wat zouden die 'vlokken' kunnen betekenen bij zijn elleboog?
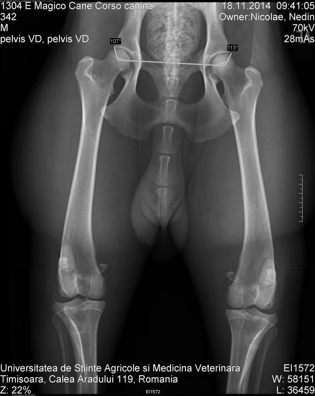
En wat vinden jullie van de heupfoto's?
Heb ze ook al doorgestuurd naar Maarten Kapen, maar ben ook benieuwd naar jullie mening





Moderator: moderatorteam






Zouden eeltplekken zo duidelijk zichtbaar zijn op een röntgenopname?laeken schreef:Die hond ligt op harde ondergrond en die vlokken zijn zover ik kan bedenken dus eeltplekken van het liggen.


Maar daarom moet er dus gevoeld worden, aan de foto alleen heb je niks eigenlijk. En theoretisch moet het te voelen zijnInge O schreef:ja, klopt, het feit alleen dat het harde hoorn is maakt het nog niet zichtbaar op rx - een gecalcificeerde slijmbeurs op die plaats zou eventueel ook kunnen?Jeannettebo schreef:eigelijk zou het dan gecalcificeerd moeten zijn, wil het net zo wit tonen als bot.
ik zie in ieder geval geen relatie met het bot/gewricht.


Onderhuids? Zo ziet het er mi uit.laeken schreef:Die hond ligt op harde ondergrond en die vlokken zijn zover ik kan bedenken dus eeltplekken van het liggen.
Dat denk ik dus niet.. Tenzij ze gecalcificeerd zijn. Het ziet eruit als iets met kalkafzetting. Hoe dik de hoornlaag ook is, dat geeft niet dit beeld voor zover ik weet.Tara schreef:Dat was ook het eerste dat in mij opkwam, en ik denk inderdaad dat je dat op de foto goed kunt zien.laeken schreef:Die hond ligt op harde ondergrond en die vlokken zijn zover ik kan bedenken dus eeltplekken van het liggen.

Mooi om te zien!Inge O schreef:nee, zeker niet, zo ziet de hoef van een paard eruit op rxJeannettebo schreef:Dat denk ik dus niet.. Tenzij ze gecalcificeerd zijn. Het ziet eruit als iets met kalkafzetting. Hoe dik de hoornlaag ook is, dat geeft niet dit beeld voor zover ik weet.Tara schreef:Dat was ook het eerste dat in mij opkwam, en ik denk inderdaad dat je dat op de foto goed kunt zien.laeken schreef:Die hond ligt op harde ondergrond en die vlokken zijn zover ik kan bedenken dus eeltplekken van het liggen.


