De kerel met de onverwante stamboom, het leukste karakter en beste bouw zijn we tijdens haar dekrijpe periode (half november) nog maar een keer gaan opzoeken
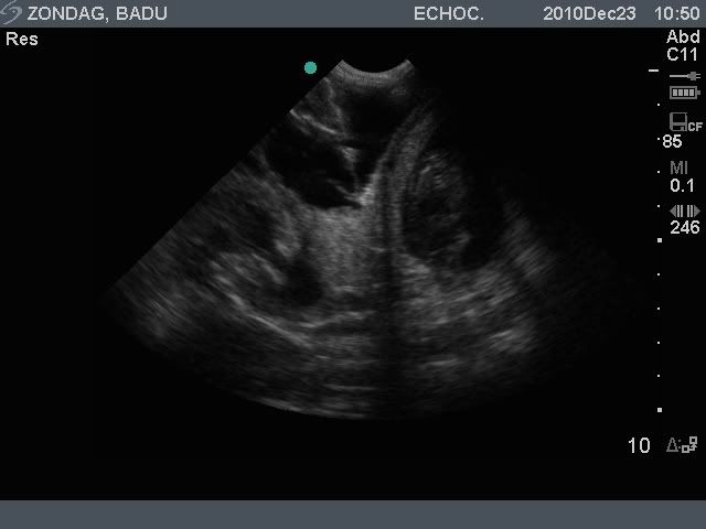
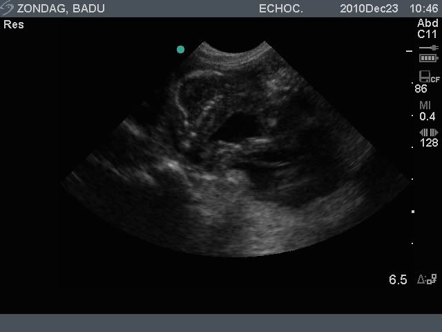
Vandaag zijn we voor een drachtecho geweest en…. we telden ongeveer 5 pups. Het aantal was niet helemaal goed te bepalen omdat mevrouw het een idioot plan vond om op haar rug te gaan liggen. Staand was het moeilijk tellen…
Half januari verwachten we Peruaanse pups, nakers en peludo's





















